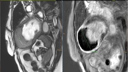
Acute coronary syndrome with mechanical complication and long-term sequelae.
11 December 2025 (08:00 - 15:30)
Organised by: 

About the speaker

University Hospital of Krakow, Krakow (Poland)
4 More presentations in this session

Doctor A. Henriques Silva (Almada, PT)

Doctor L. Balan (Bucharest, RO)

Doctor S. Iliopoulou (Thessaloniki, GR)

Doctor G. Daniela Andreea (Bucharest, RO)
Access the full session
The Event
EACVI 2025
11 December - 13 December 2025


