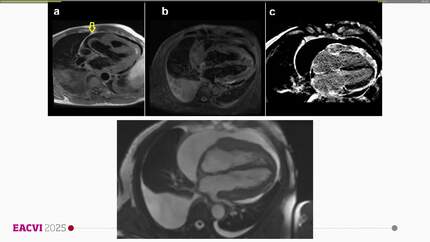
Unraveling constrictive physiology and coronary obstruction: a multimodality imaging guided diagnosis
11 December 2025 (09:41 - 09:52)
Organised by: 

Slides
About the speaker

Cardiovascular Diseases Institute Prof. Dr. George I.M. Georgescu, Iasi (Romania)
3 More presentations in this session

Doctor P. Niarchou (Athens, GR)

Doctor M. Hasan (Bandung, ID)
Access the full session
The Event
EACVI 2025
11 December 2025
09:41 CET
You may be interested in
Congress Session
Congress Presentation
Congress Presentation


