ACVC Premium Access

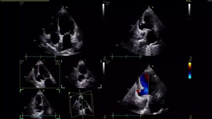
Management and treatment of an acute post-infarction ventricular septal defect in cardiogenic shock

Congress Presentation

About the speaker

Doctor Lucia Munoz Prejigueiro

Marquis of Valdecilla University Hospital, Santander (Spain)
3 presentations
0 follower

6 more presentations in this session

Acute mechanical complication during a scheduled procedure. emergent sternotomy and short-term mechanical support bridge to recuperation.

Speaker: Miss A. Ona Orive (Valladolid, ES)

Thumbnail

Diagnosis of a ventricular pseudoaneurysm secondary to subacute myocardial infarction

Speaker: Mr F. Altadill Balsells (Barcelona, ES)

Thumbnail

A case report: cardiogenic shock due to inferior ST-elevation myocardial infarction following mechanical complications, acute renal and respiratory failure

Speaker: Miss E. Sakaviciute (Kaunas, LT)

Thumbnail

Acute inferior STEMI complicated by papillary muscle rupture and pseudoaneurysm: strategic decision-making and outcomes

Speaker: Doctor P. Alados Perez (Madrid, ES) Doctor A. Kallmeyer (Madrid, ES)

Thumbnail

Concealed LV rupture of a late presenter ACS patient. always check things twice

Speaker: Doctor A. Kitsiou (Marousi, GR)

Thumbnail

Access the full session

Mechanical complications after AMI

Speakers: Doctor L. Munoz Prejigueiro, Miss A. Ona Orive, Mr F. Altadill Balsells, Miss E. Sakaviciute, Doctor P. Alados Perez...
Thumbnail

About the event

Image

ESC Acute CardioVascular Care 2025

14 March - 15 March 2025

Sessions Presentations

ESC 365 is supported by