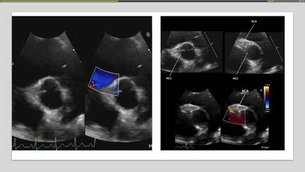
Anomalous origin of the right coronary artery from the pulmonary artery in a young girl
11 December 2024 (14:48 - 14:57)
Organised by: 

Slides
About the speaker

Manchester University NHS Foundation Trust, Manchester (United Kingdom of Great Britain & Northern Ireland)
4 More presentations in this session


Doctor F. Giannetti (Maddaloni, IT)

Doctor I. Ferreira Neves (Lisboa, PT)
Access the full session
The Event
EuroEcho-Imaging 2024
11 December 2024
14:48 CET
You may be interested in
Congress Presentation
Congress Session




