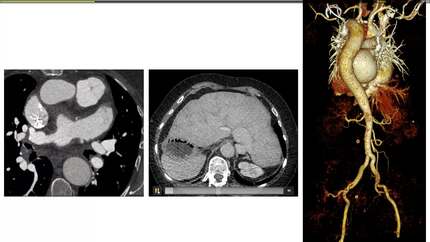
Facing a standstill: Torrential tricuspid regurgitation with cardiogenic shock after electrical cardioversion
25 August 2023 (17:09 - 17:22)
Organised by: 

Slides
About the speaker

University Emergency Hospital of Bucharest, Bucharest (Romania)
4 More presentations in this session

Doctor C. Cledera (Sorsogon City, PH)
Access the full session
The Event
ESC Congress 2023
25 August 2023
17:09 CET
You may be interested in
Congress Session
Congress Session





