Escardio
ESC eLearning
ESC 365
ESC 365
Escardio
ESC eLearning
ESC 365
ESC 365
Escardio
ESC eLearning
ESC 365
News
Membership
Sign in
Menu
Resources
Collections
Events
Menu
Resources
By topic
Arrhythmias and Device Therapy
Basic Science
Cardio-oncology
Cardiovascular Imaging
Cardiovascular Nursing
Cardiovascular Pharmacotherapy
Coronary Artery Disease, Acute Coronary Syndromes, Acute Cardiac Care
Diseases of the Aorta, Peripheral Vascular Disease, Stroke
e-Cardiology, digital health
Heart Failure
Hypertension
Interventional Cardiology and Cardiovascular Surgery
Preventive Cardiology
Public Health, Health Economics, Research Methodology
Valvular, Myocardial, Pericardial, Pulmonary, Congenital Heart Disease
By community
European Society of Cardiology
Working Groups
Associations
ACVC
ACNAP
EACVI
EAPC
EAPCI
EHRA
HFA
Councils
Basic science
Cardio-oncology
Cardiology practice
Cardiovascular genomics
Hypertension
Stroke
Valvular heart disease
By type
Practical tools
Podcasts
Seminars
Webinars
Congress
Congress sessions
Congress presentations
By format
Articles
Audio
Slides
Videos
Visual Summaries
Collections
Programmes
ESC TV Today
Knowledge track
Practical Tools
Image of the Week
EAPC Test your knowledge
Webinar
ACVC Talks
Working Group Talks
ACVC Journal Club
EAPC Journal Club
EAPCI Journal Club
HFA Journal Club
EHRA Journal Club
Podcast
ESC CardioTalks
ACNAP CardioTalks
ACVC CardioTalks
CardioPractice CardioTalks
EACVI CardioTalks
EHRA CardioTalks
HFA CardioTalks
ESC Journals
European Heart Journal
Cardiovascular Research
EHJ - Cardiovascular Imaging
EHJ - Cardiovascular Pharmacotherapy
EHJ - Case Reports
EHJ - Digital Health
EHJ - Quality of Care & Clinical Outcomes
EP Europace
European Journal of Cardiovascular Nursing
European Journal of Preventive Cardiology
Events
Upcoming Events
All events
Congresses
Webinars
Seminars
Past Events
All events
Congresses
Webinars
Seminars
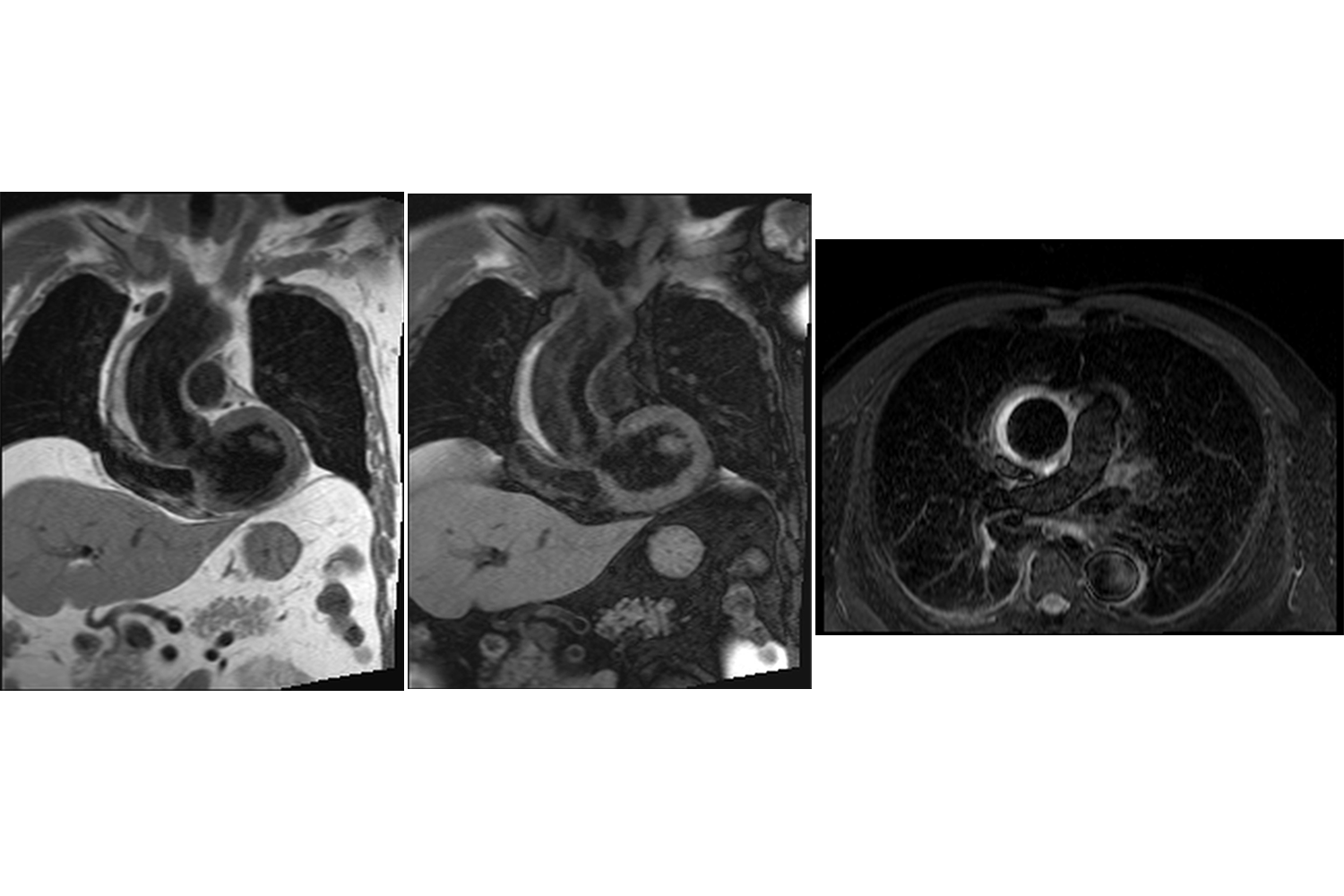
Image of the Week - 2 August 2023
1 August 2023
Organised by:
Practice Tools
Open Access
Image of the week
Loading...
You may be interested in
Practice Tools
Image of the Week - 26 June 2024
Practice Tools
Image of the Week - 7 August 2024
Practice Tools
Image of the Week - 9 August 2023
Contributors
Doctor Sriram Veeraraghavan
Doctor Bharath Raj Kidambi
Doctor Narendhiran Pandurangan
ESC 365 is supported by
Explore sponsored resources