
Doctor Jennifer Beney
Bern University Hospital, Inselspital, Bern (Switzerland)
Membership:
EHRA Member
Follow
Contributor content
Presentation
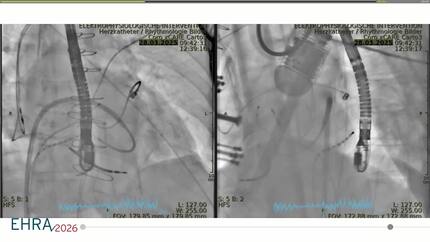
Successful catheter ablation of electrical storm with the lattice tip catheter in a patient with a left ventricular apical thrombus using echocardiographic guidance
Presentation

